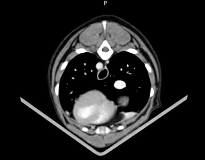
大細媽坐言起行, 星期一已經約左楓樹照 CT.
因為要麻醉, 今早, 我要空肚, 仲好早落樓下兜個轉, 等我早D清大小二便.
清左大小二便, 係準確 D, 5.7 同 5.75 KG 來回跳.
因為診所姐姐剛接電話, 我企定定好耐等佢睇, 佢讚我好乖, 無周圍走.
我第一次來, 周圍望.
一陣會點呢 ?
原來要先見醫生, 見我果位係靚仔醫生, 姓董的. 佢助手都係哥哥仔.
醫生問媽咪有關我點解要照CT, 睇埋我驗血報告, 可以適合照.
解釋完細節同收費, 媽咪就留低我.
醫生話大概 11:30 照, 預計我會在半小時清醒, 12:30 會打電話俾媽咪報平安.
預 14:00 可以回來接我.
好順利, 媽咪返左屋企等, 一接電話, 就馬上換衫出來, 點知佢心急, 早在13:35到左.
好彩唔駛等夠鐘咋.
見到媽咪, 我好開心, 笑晒. 佢先照相同細媽報平安, 跟住, 我地可以坐車返屋企喇.
診所有隻光碟俾返媽咪, 但媽咪點識睇呢. 做記錄啦.












沒有留言:
張貼留言